Durch den Einsatz modernster Techniken in der Radiologie wie der Integration von künstlicher Intelligenz (KI) und Remote Scanning lassen sich Verbesserungen in vielen Bereichen erzielen. Die radiologische Diagnostik wird genauer und zeiteffektiver, unter Schonung der personellen Ressourcen. Remote Scanning erlaubt den Einsatz der Expertise der Medizintechnologen der Radiologie (MTRs) auch an Standorten außerhalb der Universitätsmedizin Mannheim. So können Wegezeiten für Patienten vermieden und Spezialuntersuchungen wohnortnah angeboten werden. Zugleich soll dem Mangel an hochspezialisiertem Personal entgegengewirkt werden. Neben der Optimierung unterschiedlichster Prozesse führen diese Entwicklungen auch zu veränderten Anforderungen an Ärzte und technisches Personal. Die rasant steigende Datenmenge erfordert neben der Patientenversorgung auch die Verwaltung und Analyse der erhobenen Daten, um in den drei Säulen der universitären Medizin – Patientenversorgung, Forschung und Lehre – möglichst großen Nutzen unter Einhaltung des Datenschutzes zu erzielen. Herr Dr. Alexander Hertel beschäftigt sich als Mitglied der Forschungsgruppe AI in Radiology mit dem Einsatz KI-basierter Software in der Klinik für Radiologie und Nuklearmedizin der UMM. Frau Katrin Koziel ist als eine der drei leitenden MTRs maßgeblich an der Implementierung des Remote Scannings beteiligt. Herr Prof. Dr. med. Stefan Schönberg, Klinikdirektor der Radiologie und Nuklearmedizin der UMM, im Gespräch mit Herrn Dr. Hertel und Frau Koziel zu den Chancen der modernen Radiologie und den damit verbundenen Änderungen im Berufsbild von Radiologen und Medizinischen Technolog/-innen für Radiologie.
Welche Anwendungen für KI werden in der Radiologie bereits eingesetzt und welche Erfahrungen wurden gemacht?
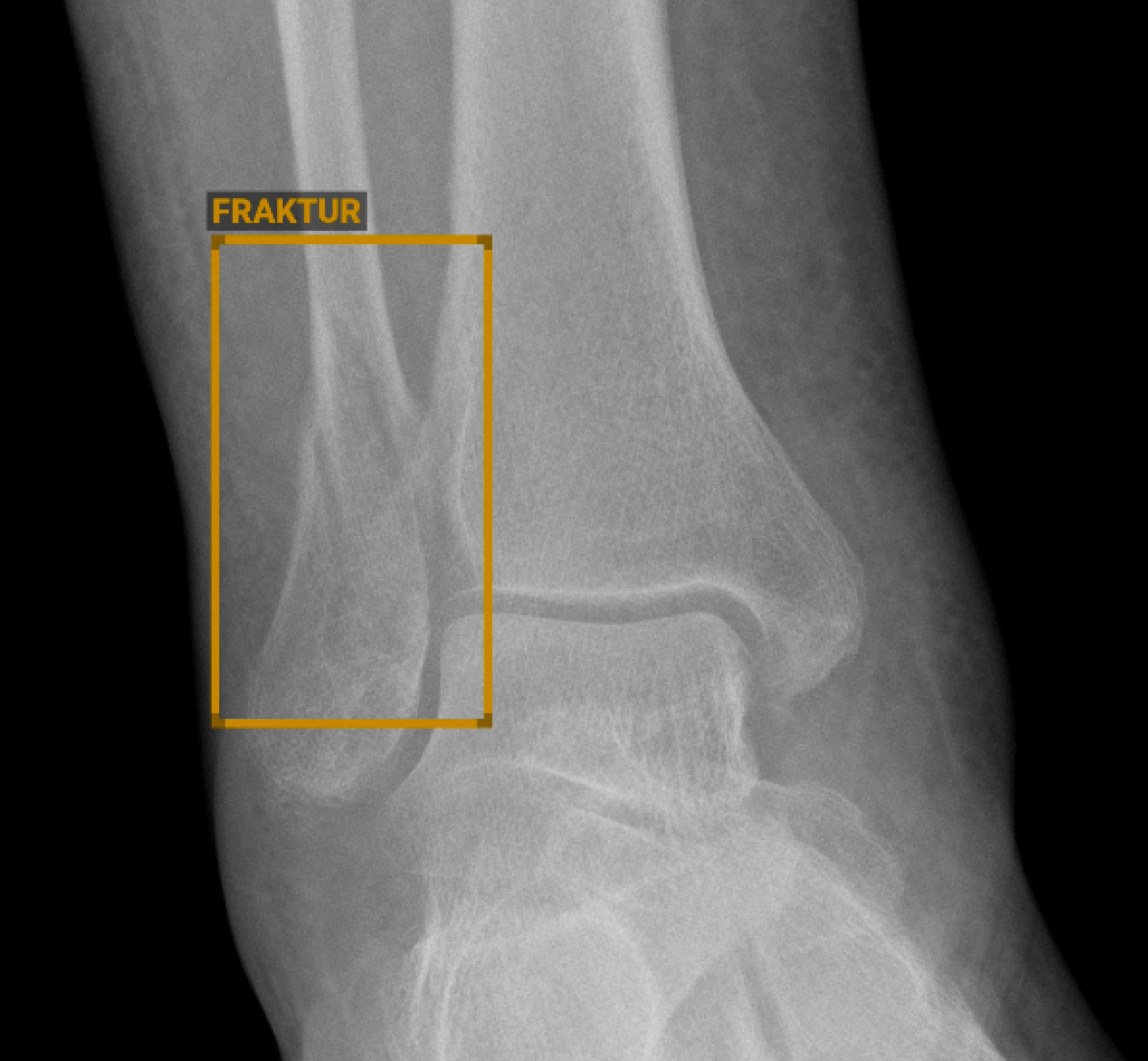
H: KI findet in der Radiologie bereits vielfach Anwendung, beispielsweise bei der Bilddatenrekonstruktion im MRT, oft ohne direkten Einfluss auf die ärztliche Bildbeurteilung. Mit BoneView von Gleamer ist auch die KI-basierte Entscheidungsunterstützung ein wichtiger Bestandteil unserer radiologischen Befundung geworden, insbesondere bei der Detektion von Frakturen auf konventionellen Röntgenaufnahmen. Durch den Einsatz dieser KI-gestützten Software gelingt es uns, die personellen Ressourcen optimal einzusetzen und gleichzeitig die diagnostische Genauigkeit zu verbessern. Die hohe Evidenzbasis von BoneView wird nicht nur durch unsere eigene laufende Validierungsstudie bestätigt, sondern auch durch zahlreiche hochrangige internationale Publikationen. So ermöglicht die KI eine zusätzliche Absicherung in der Diagnostik und verbessert spürbar die Effizienz und Qualität der Befundung, indem mögliche Frakturen automatisch erkannt und hervorgehoben werden. So können wir schneller eine präzise Diagnose stellen und unmittelbar die richtige Therapie einleiten. Insbesondere in der Akutversorgung verbessert die Software damit die Sicherheit und die Geschwindigkeit der Patientenversorgung erheblich. Eine weitere Anwendung ist die Detektion von Lungenrundherden mit einer CAD (Computerassistierte Detektion)-Software, die wir bereits seit vielen Jahren nutzen. Auch kleinere und „versteckt“ liegende Herde nah am Zwerchfell oder an Gefäßen werden hierdurch zuverlässig angezeigt. Auch hier erhöht sich die diagnostische Sicherheit vor allem bei hohem Patientendurchsatz, wie wir ihn in einem Haus der Supramaximalversorgung wie der UMM vorfinden. Für jeden Einsatz einer KI gilt jedoch, dass die korrekte Einordnung der Befunde weiterhin eine wichtige ärztliche Aufgabe zur Differenzierung echter Pathologien von falsch positiven Befunden ist. In der interventionellen Radiologie wird KI bereits eingesetzt, um Läsionen noch gezielter zu biopsieren, indem wir zur Biosieplanung Daten, beispielsweise aus der MRT-Bildgebung oder nuklearmedizinischen Untersuchungen, kombinieren und so besonders auffällige Anteile millimetergenau ansteuern können.
K: Bereits bei der Erstellung von Untersuchungen setzen wir KI ein. Beispielsweise verfügen unsere MRT-Scanner der neuesten Generation über eine Rekonstruktionstechnik namens Deep-Resolve. Diese MRT-Technik ist eine KI-basierte Technologie von Siemens Healthineers. Sie nutzt Deep Learning, um MRT-Scans zu beschleunigen und gleichzeitig die Bildqualität zu verbessern oder beizubehalten. Dies ermöglicht kürzere Untersuchungszeiten und potenziell genauere Diagnosen durch reduziertes Rauschen und höhere Auflösung. Damit können wir den Patientendurchsatz erhöhen und die Wartezeiten reduzieren. Ein weiterer Effekt ist die Reduktion von Artfakten durch weniger Patientenbewegung bei kürzerer Untersuchungsdauer. Durch adaptive Scanprotokolle wie beispielsweise CARE Dose4D (Siemens) kann KI helfen, Scanparameter in Echtzeit, basierend auf den anatomischen Gegebenheiten des Patienten oder dem Untersuchungsziel anzupassen, um die Bildqualität zu optimieren und die Strahlenexposition im CT zu minimieren.
In welchen Situationen profitiert der Patient besonders vom Einsatz der KI-basierten Entscheidungsunterstützung?
H: Insbesondere nachts im Schichtdienst sind wir häufig mit einer sehr hohen Arbeitsbelastung konfrontiert, während weniger Personal zur Verfügung steht und die Aufmerksamkeit gleichzeitig sinkt. In dieser Situation unterstützt uns die KI durch eine schnelle, objektive Analyse der Röntgenbilder und hilft dabei, Auffälligkeiten frühzeitig zu erkennen. Dadurch steigt die diagnostische Sicherheit deutlich, kritische Befunde werden priorisiert und die Fehleranfälligkeit sinkt. Auch bei der Befundung unter Zeitdruck ist die Unterstützung durch KI ein entscheidender Vorteil, um die Versorgung der Patienten auf einem konstant hohen Niveau zu gewährleisten.
Wie wird KI in der Zukunft noch besser integriert werden und welcher Benefit ist hierdurch zu erwarten?
H: Wir planen die vollständige Integration von KI-gestützter Software in unser neues Radiologie-Informationssystem (RIS) Siemens Syngo Carbon. Dadurch wird es möglich sein, die Detektionsergebnisse der KI direkt in unseren Befundungsworkflow einzubinden. Besonders wichtig ist dabei die geplante Funktion zur Workflowlisten-Priorisierung: Fälle, bei denen eine potenzielle Fraktur erkannt wird, können automatisch weiter oben auf der Befundliste erscheinen. Das bedeutet, dass dringliche Fälle schneller bearbeitet werden und eine rasche Therapieeinleitung ermöglicht wird – was insbesondere in der Notaufnahme einen direkten Einfluss auf das Therapiemanagement und die Verkürzung von Wartezeiten hat. Patienten mit unauffälliger Bildgebung können schneller entlassen werden.
KI wird ein unverzichtbarer Bestandteil der zukünftigen Radiologie sein. Systeme wie BoneView zeigen bereits heute eindrucksvoll, wie KI unsere Arbeit unterstützen und die Qualität der Patientenversorgung verbessern kann. KI wird repetitive Aufgaben übernehmen, uns bei der Priorisierung unterstützen und zusätzliche Sicherheit in der Diagnostik bieten.
Dadurch bleibt mehr Zeit für die komplexe Befundung und die klinische Zusammenarbeit. Zudem bietet die Technologie eine hohe Skalierbarkeit und Anpassungsfähigkeit – so können künftig weitere KI-Tools integriert werden, um die Radiologie noch effizienter und patientenzentrierter zu gestalten.
Welche weiteren Effekte bringt der Einsatz der KI mit sich?
H: Neben der Optimierung der personellen Ressourcen und der Verbesserung der diagnostischen Genauigkeit – insbesondere nachts im Schichtdienst – trägt KI-Unterstützung durch frühzeitige und präzise Diagnosen maßgeblich zur Kosteneffizienz bei, indem potenzielle Komplikationen vermieden und lange Krankenhausaufenthalte reduziert werden. Gleichzeitig steigert sie die Effizienz der Röntgenbefundung und sorgt für kurze Befundlaufzeiten (Zeit von der Erstellung des Bildes bis zur Freigabe des Befundes) trotz der stetig zunehmenden Menge an medizinischer Bildgebung.
Durch den Einsatz moderner KI erfüllen wir außerdem gesetzliche und qualitätssichernde Anforderungen, steigern die Attraktivität unserer Klinik als moderne Einrichtung für Patienten und Mitarbeiter und verbessern die Patientenzufriedenheit sowie die Weiterempfehlungsraten nachhaltig.
Welche weiteren Einsätze von KI sind in Vorbereitung?
H: Weitere aktuelle Entwicklungen in der KI-gestützten Auswertung sind Mammografien mit einer automatisierten Einteilung der Brustdrüsendichte und der Klassifikation einer erkannten Läsion nach BI-RADS-Standard sowie der automatischen Erkennung von Lungenembolien in der CT-Bildgebung.
Ein weiterer Schritt in die Zukunft ist das Remote Scanning. Was versteht man darunter und welche Möglichkeiten bietet es?
K: Remote Scanning bezeichnet die Durchführung von Untersuchungen aus der Ferne. In der medizinischen Bildgebung ermöglicht es MTRs, radiologische Untersuchungen wie MRT- oder CT-Scans von einem entfernten Standort aus zu steuern, ohne dass die steuernde Person physisch am Ort des Geschehens anwesend ist. Dies kann Personalengpässe überbrücken sowie flexible Arbeitszeiten und den Zugriff auf unsere universitäre Expertise ermöglichen. Eine weitere Einsatzmöglichkeit ist die Fernwartung von Geräten. Technisch wird Remote Scanning in der medizinischen Bildgebung in der Regel durch spezielle Softwarelösungen ermöglicht, die eine sichere Verbindung zum Scanner herstellen. Diese Lösungen erlauben die Fernsteuerung der Scanparameter, die Beobachtung des Patienten über Kameras und die Kommunikation mit dem Personal vor Ort. Wichtig dabei sind hohe Sicherheitsstandards, um Patientendaten und die Integrität der Systeme zu gewährleisten. Es muss sichergestellt sein, dass das Personal vor Ort in der Lage ist, den Patienten angemessen zu betreuen und in Notfällen einzugreifen. Auch die Qualität der Bildgebung darf durch die Fernsteuerung nicht beeinträchtigt werden.
Wie entwickelt sich das Berufsbild der MTR und des Radiologen im Kontext der weiteren Entwicklung von künstlicher Intelligenz?
H: Der zunehmende Einsatz von KI ermöglicht uns, dem steigenden Bedarf an radiologischer Diagnostik und Therapie gerecht zu werden, ohne Qualität einbüßen zu müssen. Entscheidungsunterstützungssysteme sorgen für eine bessere, schnellere und sicherere Medizin. Um die steigende Menge medizinischer Daten optimal nutzen zu können, werden wir zunehmend Techniken zur Datenverwaltung und Datenanalyse in unsere Workflows integrieren. Die korrekte Einordnung der erhobenen Daten ist für jeden Patienten höchst individuell und erfordert auch unter Einsatz von KI zukünftig die abschließend bewertende Komponente durch erfahrenes medizinisches Fachpersonal.
K: Durch Remote Scanning haben wir den Vorteil, dass sich die/der MTR auf seine Kernaufgabe im technischen Bereich konzentrieren kann. Patientennahe Tätigkeiten, die derzeit eine weitere Hauptaufgabe der MTRs darstellen, werden zunehmend in den Hintergrund treten und von weniger hoch qualifiziertem Personal durchgeführt werden. Das zukünftig patientenbetreuende Personal benötigt Anleitung, zusätzlich besteht die Möglichkeit, mehrere Geräte gleichzeitig oder nacheinander von einem zentralen Punkt aus zu bedienen. Dadurch verschiebt sich das Berufsbild der MTRs zunehmend in den technischen und supervidierenden Bereich. In den Ausbildungsmodellen der Zukunft müssen also zunehmend Skills wie Personalführung und Management integriert werden, um mit dem technischen Fortschritt auch personell mithalten zu können.






